文/羊城晚报全媒体记者 张华 通讯员 黄月星 徐协图/医院提供
在体检中越来越多的肺小结节被发现,是良性还是恶性?如果评估是早期肺癌,可能需要进行肺结节微创手术。但是,由于这些结节体积较小、密度低,病变离胸膜较远,往往不能通过肉眼观察或通过术中探查触及肿物,导致难以精准切除。据记者了解,广州市第一人民医院胸外科引进了针对此类结节的“高科技”,可助力精准切除肺结节。

体检中发现的异常肺结节增多
体检发现肺结节日渐增多
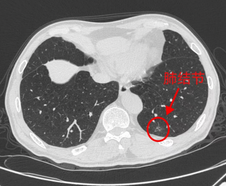
近日,28岁的刘女士在做体检时,通过胸部CT发现了一个8mm的肺小结节。在广州市第一人民医院经会诊评估后,考虑倾向早期肺癌可能性较大,医生建议进行手术治疗。
由于刘女士的肺结节体积较小,仅为8mm,且密度低,病变离胸膜较远,这种小结节的手术定位给胸外科医生带来了巨大挑战,传统手术难以精准切除。
目前,由于体检中广泛应用低剂量螺旋CT使得很多肺小结节被发现,一旦评估为早期肺癌的时候,常常建议尽早手术切除。
当天手术第二天出院
针对肺小结节,传统手术方式难以定位。该院胸外科副主任医师谢建将向记者介绍,现在借助“术前肺结节定位针定位法”,经过以下步骤,肺小结节可以被精准切除。
①术前经CT引导下,经体表注入定位针。

②在微创手术中胸腔镜下根据定位针确定准备切除的大致范围。

胸腔镜下看到的定位钩
在定位针的指引下,只需一个手术切口即可完成肺结节的精准切除手术。刘女士的肺结节被顺利切除,切除的肺结节化验病理结果为:原位腺癌伴微小浸润,经评估为早期肺癌,复发风险极低。术后第二天,患者恢复良好,就可办理出院了。
谢建将表示,“术前肺结节定位针定位法”具有定位精准、切除范围小、切口小的特点,大大缩短手术时长,手术后患者恢复良好,即可办理出院。这种定位法适用于密度比较低、体积比较小的结节。尤其是术中不好探查的,一般可以用这个方法定位。
3种“高科技”助力,精准切除结节
针对肺部结节,如果经过评估考虑倾向恶性肿瘤,可以通过微创手术切除的。谢建将介绍,广州市第一人民医院胸外科已经引进多种定位技术,已覆盖应用于各类不同位置肺小结节的切除手术中。
技术一:术前定位针定位,精准找到小结节
广州市第一人民医院胸外科是广东省内第一批引进此类技术的科室之一,经过多年的发展,技术成熟、定位精准。“只要是肺小结节,位置合适,就可用这个定位针来定位。”谢建将解释,之所以能定位是因为有一个小钩子藏在空心的定位针里,术前在CT引导下,把定位针经过皮肤打进肺小结节,定位针释放钩子,再把针退出,钩子就留在肺结节里,手术时,因钩子所在的位置就对肺结节的位置了然于心。
技术二:术前肺3D重建,尽可能保留肺功能
谢建将表示,医生会根据肺结节所在的位置不同,切除肺小结节一般有两种方式:1、肺楔形切除(部分切除,比如肺结节长在肺叶的边缘);2、肺段切除(当肺结节分布在肺段内,距离肺段分界有一定距离时,可依据3D重建的数据,判断动脉血管位置,进行解剖性切除)。

普通CT图像
经3D重建后的效果图谢建将说:“在3D重建图中,医生可直观看到肺内支气管、动静脉等肺段解剖结构,根据不同个体差异进行专业化定制,依据重建后的分段,进行体积更小、更精准切除,尽可能保留肺功能,降低手术对生活的影响。”

胸外科术中利用肺3D重建图像,进行精准肺段切除
技术三:荧光胸腔镜技术进行解剖性肺段切除
针对特殊位置的肺小结节,广州市第一人民医院胸外科已引入具有荧光功能的电视胸腔镜,可利用ICG(吲哚菁绿造影剂)荧光染色进行解剖性肺段切除。
“给患者静脉注射吲哚菁绿造影剂后,ICG荧光染色,可以更快、更精准显示肺段边界(半分钟显影),明显缩短手术时间,减少正常肺组织损伤,降低手术风险。”谢建将说。
目前,以上三种技术可应用于不同位置的肺小结节切除术。
来源 | 羊城晚报·羊城派
责编 | 李可欣
伊甸园真容现世新疆于阗

			    	微信扫一扫打赏
			    
			    	支付宝扫一扫打赏	
			    
